
Mahogany Oral Surgery is dedicated to providing top-notch dental care to all our patients.
Mahogany Oral Surgery is accredited by the Alberta Dental Association to ensure the highest quality service and care for patients.
Introduction

Imagine your mouth as the gateway to your health. It’s not just for eating and speaking but a critical aspect of your overall well-being.
Knowing when to see an “oral maxillofacial surgeon near me” can be a game-changer for your health.
At Mahogany Oral Surgery in Calgary, AB, we specialize in providing top-notch oral surgery services to ensure your gateway remains in peak condition. Our team of oral and maxillofacial surgeons is dedicated to offering expert care and leading the way in high-quality treatment for our patients.
In this blog, you’ll learn about the importance of oral maxillofacial surgery, how our practice stands out, and everything you need to know about finding the best oral surgeon for your needs.
Why You Might Need an Oral Maxillofacial Surgeon

Oral maxillofacial surgeons are specialized professionals who handle complex dental and facial issues. They perform various dental surgeries, including wisdom tooth extraction and other surgical procedures, often under sedation to ensure a smooth recovery process. Their expertise in these dental surgeries makes them the go-to professionals for such intricate procedures.
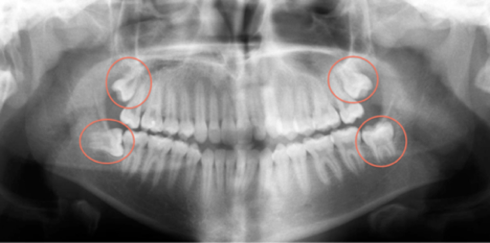
Oral Maxillofacial Surgery: More Than Just Tooth Extractions

The need for an oral maxillofacial surgeon often arises from more than just common dental issues.
Complex conditions like impacted wisdom teeth, jaw misalignments, and facial trauma require the expertise of a specialized surgeon.
These professionals are trained to handle intricate procedures that go beyond the scope of general dentistry.
For instance, impacted wisdom teeth can cause significant pain, infection, and damage to adjacent teeth.
Jaw misalignments can lead to chronic discomfort, headaches, and difficulties with chewing and speaking.
Facial trauma, whether from an accident or injury, requires the delicate touch of an oral maxillofacial surgeon to restore both function and aesthetics.
These surgeons are equipped to handle everything from minor fractures to major reconstructive surgery.
Their training includes years of surgical residency, focusing on the complexities of facial anatomy and surgical techniques.
Bone grafting is crucial for enabling patients to be candidates for dental implant placement, allowing the growth of bone where needed.
Practical Tip: Regular dental check-ups can help identify issues early, reducing the need for extensive surgery. Early detection and treatment of dental problems can prevent complications and ensure better outcomes.
Quote: “Oral health is a critical component of overall health. Specialized care is essential for complex conditions.” – Dr. Brett Habijanac, Oral Surgeon.
How Oral Maxillofacial Surgeons Can Help You

Mahogany Oral Surgery is dedicated to providing comprehensive care for all patients. Mahogany Oral Surgery provides hospital-based oral and maxillofacial surgery procedures, ensuring the highest quality service and care.
Our team of experienced oral maxillofacial surgeons offers a wide range of services, including maxillofacial surgery procedures, dental implants, and corrective jaw surgery. We are committed to using the latest technology and techniques to ensure the best outcomes for our patients.
Comprehensive Care for Complex Conditions Including Dental Implants

Oral maxillofacial surgeons are trained to perform a wide range of procedures, from corrective jaw surgery to dental implants.
They have the expertise to handle complex cases involving the bones, skin, and muscles of the face, jaws, and neck.
For example, corrective jaw surgery, also known as orthognathic surgery, can improve both function and appearance.
This surgery can address problems with chewing, speaking, and breathing, and can also enhance facial aesthetics.
Dental implants are another common procedure performed by oral maxillofacial surgeons.
Implants are a permanent solution for missing teeth, they provide a strong foundation for replacement teeth that look, feel, and function like natural teeth.
The process involves careful planning and precision to ensure successful outcomes. Mahogany Oral Surgery is a non-hospital surgical facility capable of performing a full scope of oral surgeries in-house.
Practical Tip: If you’re experiencing chronic facial pain or difficulty with jaw movement, consult an oral maxillofacial surgeon promptly. Early consultation can prevent the progression of the condition and improve your quality of life.
Quote: “The depth of knowledge and skill in oral maxillofacial surgery is crucial for treating intricate facial and dental conditions.” – Dr. Miller Smith, Oral Maxillofacial Surgeon.
Why Choose Mahogany Oral Surgery

At Mahogany Oral Surgery, we pride ourselves on providing top-notch care to our patients. Our team of experienced professionals is dedicated to ensuring that every patient receives the best possible treatment in a comfortable and welcoming environment.
We also offer the convenience and efficiency of our online doctor referral form, making it easy and quick for patients to be introduced to referring doctors.
Exceptional Care and Advanced Technology

At Mahogany Oral Surgery, we pride ourselves on offering exceptional care using the latest technology. Our team of skilled surgeons is dedicated to providing personalized treatment plans tailored to each patient’s needs. Mahogany Oral Surgery is a leading provider of specialized care in South Calgary Oral Surgery.
We serve SE and SW Calgary and surrounding communities, ensuring convenient access to top-quality oral surgical care.
Our clinic is equipped with state-of-the-art technology, including digital imaging and 3D scanning, which allows for precise diagnosis and treatment planning.
This advanced technology enables our surgeons to perform minimally invasive procedures with higher accuracy and faster recovery times.
Additionally, we stay updated with the latest advancements in oral surgery through continuous education and training.
Practical Tip: Choose a clinic that invests in advanced technology and continuous staff training for the best outcomes. This ensures that you receive the most effective and up-to-date care available.
Quote: “At Mahogany Oral Surgery, we combine advanced technology with compassionate care to ensure the best results for our patients.” – Dr. Brad Fisher, Oral Surgeon at Mahogany Oral Surgery.
Questions to Ask Your Oral Maxillofacial Surgeon

When considering oral and maxillofacial surgery, it’s important to ask your surgeon about their expertise in the specific types of procedures they specialize in.
Ensuring You’re in Good Hands

When choosing an “oral maxillofacial surgeon near me,” it’s important to ask the right questions. Inquire about their qualifications, experience, and the types of procedures they specialize in.
At Mahogany Oral Surgery, the expertise and care provided by their oral surgeons ensure a safe and satisfying surgical experience, emphasizing professional oral hygiene and maintenance.
Understanding their approach to patient care and recovery can also provide peace of mind and help you make an informed decision.
You might want to ask about the surgeon’s success rates with specific procedures, their approach to pain management, and what you can expect during recovery.
Additionally, it’s beneficial to know if they have experience with cases similar to yours and if they offer comprehensive aftercare support.
Practical Tip: Make a list of questions before your consultation to ensure all your concerns are addressed. This will help you feel more confident and informed about your treatment options.
Quote: “Being well-informed about your surgeon’s expertise and approach can significantly enhance your treatment experience.” – Dr. Graham Cobb, Oral Surgeon.
Benefits of Early Intervention

Early intervention in dental care can prevent a host of complications and ensure better outcomes for patients. This proactive approach allows for the timely identification and treatment of potential issues before they escalate into more serious problems.
Early intervention is particularly important in wisdom teeth removal to prevent complications and ensure better outcomes.
Proactive Care for Long-Term Health

Seeing an oral maxillofacial surgeon at the first sign of trouble can prevent more severe issues down the line. Early intervention can mitigate pain, reduce recovery time, and improve overall outcomes. Whether it’s for a minor procedure or a major surgery, timely care is essential for maintaining optimal oral health.
Patients have shared positive experiences with having their wisdom teeth removed at Mahogany Oral Surgery, highlighting the comfort provided by the staff and the professionalism of the oral surgeons. For example, treating impacted wisdom teeth early can prevent infection and alignment issues. Addressing jaw misalignments early can reduce the risk of chronic pain and improve function. Early intervention in facial trauma can enhance healing and minimize scarring.
Practical Tip: Don’t ignore persistent oral or facial pain; early diagnosis and treatment are key. Prompt attention to oral health issues can prevent complications and improve your overall well-being.
Quote: “Early intervention in oral health issues can save you from more extensive and costly treatments in the future.” – Dr. Brett Habijanac, Oral Maxillofacial Surgeon.
Conclusion

Understanding when to seek the expertise of an “oral maxillofacial surgeon near me” can greatly impact your oral and overall health. At Mahogany Oral Surgery, we’re committed to providing the highest quality care for our patients in Calgary and the surrounding areas.
By choosing our experienced team, you’re ensuring that your oral health is in the best hands. Remember, early intervention and choosing the right surgeon are crucial steps towards a healthy and pain-free life. Take charge of your oral health today and experience the exceptional care at Mahogany Oral Surgery.
Visit our website for more information or to book an appointment with one of our expert surgeons at Mahogany Oral Surgery in Calgary, AB. Your health is our priority!


