
When it comes to your child’s health, every decision feels significant, right? Whether it’s choosing the best pediatrician or deciding the right time for braces, you want to make sure you’re doing what’s best.
So, when it comes to wisdom teeth, you might find yourself wondering, “Is it time for my kid to get their wisdom teeth removed?” If you’re searching for “kid wisdom tooth removal near me,” you’re already on the right track to making an informed decision.
In this post, we’ll dive deep into everything you need to know about your child’s wisdom teeth—when they should be removed, why removal is sometimes necessary, and the crucial role an oral surgeon plays in ensuring your child’s health and comfort. Evaluating and removing a child’s wisdom teeth is a critical step, and consulting a dentist can help determine if extraction is necessary.
At Mahogany Oral Surgery, located just outside Calgary, AB, our team of skilled oral surgeons is here to provide the professional care your family needs.
Understanding Wisdom Teeth: The Why and When

Wisdom teeth are the last set of molars to emerge in the mouth, and typically appear between the ages of 17 and 25. For some people, wisdom teeth come in without any issues, but for many, they can cause significant problems.
When wisdom teeth do not have enough room to grow properly, they can become impacted, leading to pain, infection, and other dental issues. Untreated wisdom teeth can also lead to gum disease, as their partial eruption can create pockets where bacteria thrive, causing gum infections. This is why many dental professionals recommend removing wisdom teeth to prevent complications such as gum disease and cavities.
Why Do Kids Need Their Wisdom Teeth Removed?
Wisdom teeth, or third molars, typically make their grand appearance between the ages of 17 and 25. But why do they often need to be removed? The short answer: wisdom teeth need to be removed because they can cause more harm than good if left unchecked.
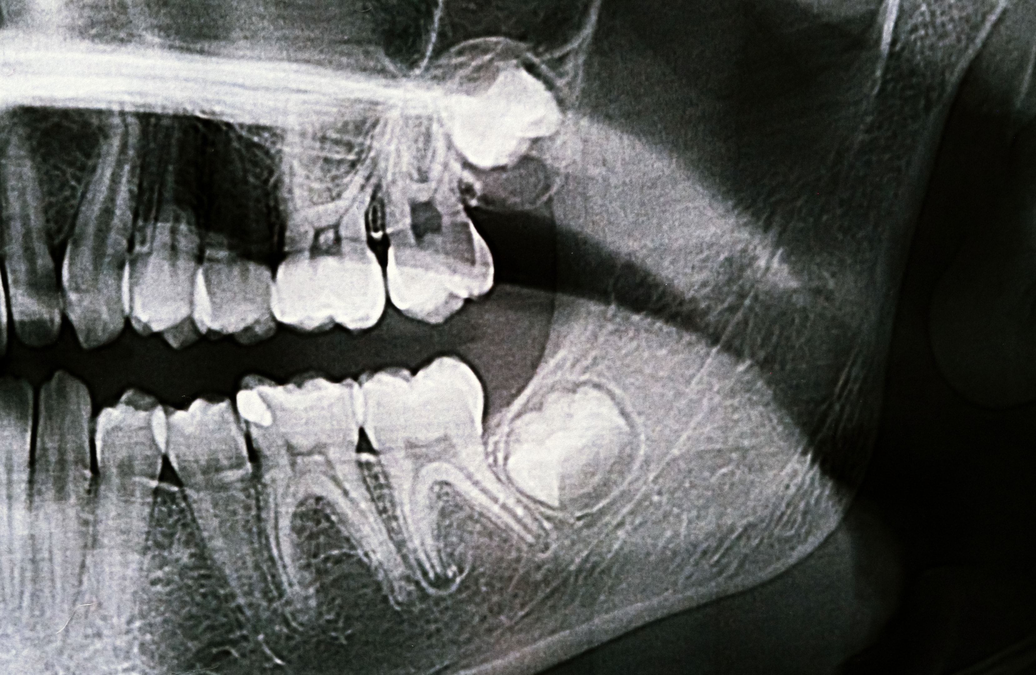
These late-blooming teeth can cause crowding, pain, and even damage to adjacent teeth if there’s not enough room in your child’s mouth. In some cases, wisdom teeth can become impacted, meaning they’re trapped below the gum line and unable to fully emerge. This can lead to painful infections, cysts, or damage to neighboring teeth and bone.
Removing wisdom teeth before these problems arise can save your child a lot of discomfort—and you a lot of stress. According to the Canadian Association of Oral and Maxillofacial Surgeons (AAOMS), it’s often recommended to remove wisdom teeth before they fully develop roots, typically during the teenage years. This is when the procedure is simpler and recovery is faster.
Practical Tip: If your child is in their mid-teens, now is a good time to consult with an oral surgeon to determine if wisdom tooth removal is necessary. Early evaluation can prevent potential complications later on.
The Ideal Age for Wisdom Tooth Removal
When is the best time to schedule your child’s wisdom tooth extraction? Most oral health professionals recommend between ages 16 and 18, before the roots of the wisdom teeth are fully formed. During these years, the wisdom teeth are easier to remove, and the jawbone is less dense, reducing the risk of complications and speeding up recovery. Early wisdom teeth extraction can alleviate pain, improve jaw function, and prevent complications such as infections and crowding of teeth.
However, every child is different. Some might not need removal until later, while others might require it earlier due to issues like crowding or impaction. Regular dental check-ups are key to monitoring the development of wisdom teeth and deciding the right time for removal.
Dr. Miller Smith, a prominent oral surgeon, notes, “The earlier we assess the growth of wisdom teeth, the better we can plan for their removal, minimizing discomfort and potential complications.”
Practical Tip: Schedule regular dental X-rays for your child starting around age 14 to monitor the growth of wisdom teeth. Early detection of issues can make the removal process smoother.
Why You Might Need to Remove Wisdom Teeth Early

Early removal of wisdom teeth is often recommended to prevent potential complications. When a wisdom tooth becomes impacted, it can lead to various issues such as infection, damage to adjacent teeth, and cyst formation. An impacted wisdom tooth, which does not fully emerge due to space limitations or positioning within the jaw, may require surgical removal. This procedure can be more complex and involve an extended recovery time compared to a straightforward extraction. By addressing these issues early, patients can avoid the more severe complications associated with impacted wisdom teeth.
Recognizing the Signs of Trouble
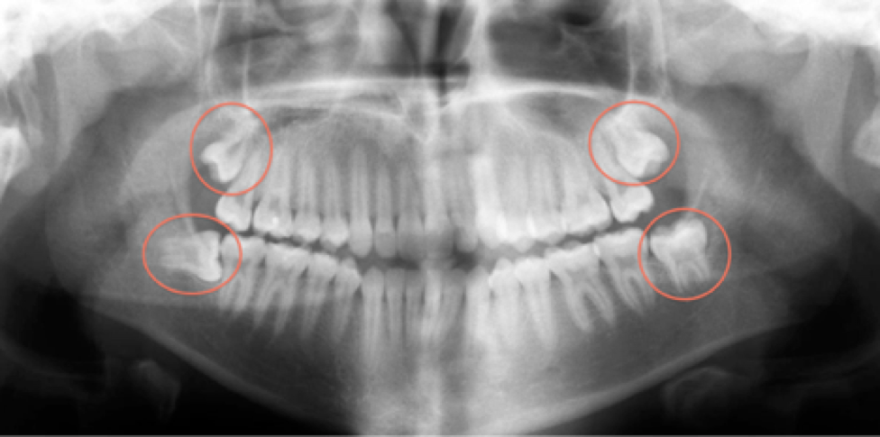
In some cases, wisdom teeth removal can’t wait until your child reaches their late teens. Symptoms like pain, swelling, and difficulty opening the mouth can indicate problems that require earlier intervention. Even without these symptoms, X-rays might reveal wisdom teeth growing at an angle or pushing against other teeth, necessitating early removal.
Many parents wonder, “Is wisdom teeth removal painful?” The procedure itself should not cause pain due to local anesthesia. However, some post-operative discomfort, swelling, and bleeding may occur. Pain management during the recovery period is crucial and can be effectively handled with prescribed medications and home care.
One common reason for early removal is the presence of impacted wisdom teeth, which can cause infection or damage to other teeth. Dr. Brett Habijanac, another experienced oral surgeon, explains, “Impacted wisdom teeth are like ticking time bombs—they may not cause pain immediately, but they can lead to serious issues if left untreated.”
Practical Tip: If your child complains of jaw pain or you notice swelling in the back of their mouth, it’s time to visit an oral surgeon. Early intervention can prevent more severe problems down the line.
The Role of the Oral Surgeon in Early Removal

If your child needs wisdom teeth removed early, choosing the right oral surgeon is crucial. Oral surgeons have specialized training in complex extractions and are equipped to handle any complications that might arise during the procedure. At Mahogany Oral Surgery, our team has extensive experience in pediatric oral surgery, ensuring your child’s safety and comfort throughout the process.
The wisdom teeth removal procedure is essential in preventing dental issues such as gum disease and cavities. It involves the use of anesthesia to minimize pain during extraction, addressing common concerns regarding discomfort and recovery after the surgery.
A study published in the Journal of Oral and Maxillofacial Surgery found that surgeries performed by oral surgeons result in fewer complications and faster recovery times compared to those performed by general dentists. This is because oral surgeons have the expertise to deal with all the intricacies of wisdom tooth removal, especially in younger patients.
Practical Tip: When searching for “kid wisdom tooth removal near me,” prioritize finding a qualified oral surgeon with experience in pediatric care. This ensures your child receives the best care possible.
The Importance of Pre-Surgical Planning

Pre-surgical planning is crucial for a successful wisdom tooth extraction. Your dentist will conduct a thorough examination and take X-rays to determine the position of your wisdom teeth and the complexity of the extraction.
Understanding the wisdom tooth removal cost is also important. The typical costs associated with the procedure can vary, and it’s essential to check with your dental insurance for potential coverage. This helps in planning for any out-of-pocket expenses and exploring payment plans if needed.
What to Expect During the Consultation
Before the wisdom tooth removal, your child will need a thorough consultation with the oral surgeon. This visit typically includes a discussion about the procedure, a review of your child’s medical history, and X-rays or 3D imaging to assess the position of the wisdom teeth.
Dr. Brad Fisher, an oral surgeon, emphasizes the importance of this planning stage: “Pre-surgical planning allows us to identify potential challenges and prepare accordingly, ensuring a smoother surgery and recovery process.”
During this consultation, you’ll have the opportunity to ask any questions you might have, from anesthesia options to post-operative care. Understanding the process will help alleviate any concerns and ensure that both you and your child feel confident going into the procedure.
Practical Tip: Write down any questions or concerns you have before the consultation. Being prepared will help you make the most of this important appointment.
Understanding Anesthesia Options
Anesthesia is a crucial component of wisdom tooth removal, especially for children. At Mahogany Oral Surgery, we offer several anesthesia options tailored to your child’s needs and comfort level. Local anesthesia numbs the area, while sedation or general anesthesia may be recommended for more anxious patients or complex extractions.
Dr. Fisher adds, “Choosing the right anesthesia is essential for a positive surgical experience. We always discuss the options with parents and patients to ensure the best choice for each individual case.”
Practical Tip: Discuss anesthesia options thoroughly with your oral surgeon during the consultation. Understanding the pros and cons of each option will help you make an informed decision that ensures your child’s comfort.
What to Expect on the Day of Surgery

Preparing Your Child for Surgery
On the day of the procedure, preparation is key to ensuring everything goes smoothly. Your oral surgeon will provide specific instructions, such as fasting requirements if your child is undergoing sedation or general anesthesia. It’s also important to prepare your child mentally for the procedure. Reassure them that they will be in good hands and that the surgery will help prevent future problems.
Dr. Habijanac advises, “Keeping the atmosphere calm and positive can significantly reduce a child’s anxiety before surgery. Simple things like playing their favorite music on the way to the appointment can help ease nerves.”
Practical Tip: Follow all pre-surgery instructions from your oral surgeon carefully. Consider bringing a comfort item for your child, like a favorite blanket or stuffed animal, to help them feel at ease.
The Role of the Oral Surgeon During the Procedure
During the surgery, your oral surgeon will meticulously extract the wisdom teeth while ensuring your child’s safety and comfort. This involves carefully navigating around nerves and other critical structures in the jaw, minimizing the risk of complications.
Oral surgeons, like those at Mahogany Oral Surgery, have the advanced training required to handle the complexities of wisdom tooth removal. They use state-of-the-art technology and techniques to ensure the procedure is as quick and painless as possible.
A study in Oral Surgery, Oral Medicine, Oral Pathology, and Oral Radiology underscores the importance of choosing an experienced oral surgeon, noting that expertise significantly reduces the likelihood of post-surgical complications.
Practical Tip: Ensure your child is in the hands of a skilled oral surgeon by researching their credentials and asking about their experience with pediatric patients.
Post-Surgical Care: Ensuring a Smooth Recovery

Managing Pain and Swelling
After surgery, it’s normal for your child to experience some pain and swelling. Your oral surgeon will prescribe pain medication and may suggest over-the-counter options to keep your child comfortable. Applying ice packs to the outside of the face can help reduce swelling.
Dr. Smith recommends, “Ice for the first 24 hours, followed by warm compresses, can significantly speed up recovery and minimize discomfort.”
Practical Tip: Stock up on soft foods like yogurt, applesauce, and smoothies before the surgery. These will be easy for your child to eat during the first few days of recovery.
Monitoring for Complications

While complications are rare, it’s important to monitor your child for any signs of infection, excessive bleeding, or prolonged pain. If you notice anything unusual, contact your oral surgeon immediately. Most issues can be quickly resolved with prompt attention.
A 2019 study published in the Journal of the Canadian Dental Association found that early detection of post-surgical complications leads to better outcomes and faster recovery times.
Practical Tip: Keep your oral surgeon’s contact information handy in case you have any post-operative concerns. It’s better to be safe and check in if something doesn’t seem right.
Conclusion: Trusting the Experts with Your Child’s Oral Health

Wisdom tooth removal is a common procedure, but it’s one that requires careful consideration and expert care, especially for children. Knowing when and why to remove wisdom teeth, and trusting an experienced oral surgeon with the procedure, can make all the difference in your child’s experience.
At Mahogany Oral Surgery, our team of skilled oral surgeons is dedicated to providing the highest level of care to our young patients. Book a consultation today!


